Neumonía intersticial descamativa: ¿Cómo se diagnostica?
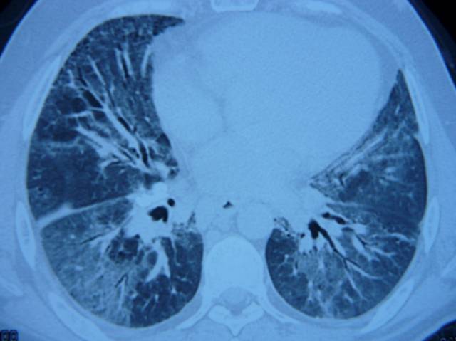
Es necesaria la valoración morfológica del pulmón mediante una Tomografía Computarizada (TC) de tórax para identificar signos sugestivos de la enfermedad. El diagnóstico definitivo se realiza mediante la observación de un pigmento característico en una biopsia del pulmón, o en algunos casos en el análisis del lavado bronquial; ambas técnicas realizadas mediante fibrobroncoscopia. El equipo médico es el encargado de valorar cuál es la metodología más idónea para cada paciente.
